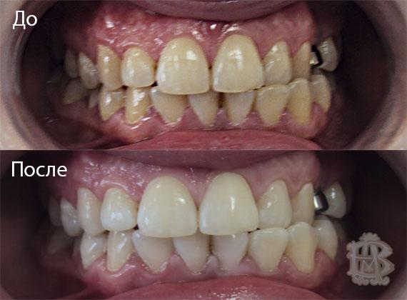
Невозможно найти человека, который бы отказался иметь ослепительно белую улыбку, которая буквально притягивает взгляды и на подсознательном уровне располагает окружающих к владельцу такого чуда. Между тем ничего чудесного в этом нет: отбеливание зубов в «ИмплантАВ» является рядовой процедурой, доступной практически каждому человеку.
Причины утраты зубами природной белизны (дисколорит) не столь уж многочисленны и их возможно разделить на три группы:
— природная желтизна эмали, повышающаяся с возрастом,
— воздействие посторонних агентов с «красящим» эффектом (кофе, никотин, чай, лекарства и так далее),
— неправильное формирование зуба в детстве (гипоплазия, флюороз, «тетрациклиновые» зубы).
Понятно, что на практике специалисты стоматологической клиники «ИмплантАВ» в Стерлитамаке большей частью сталкиваются с комплексным дисколоритом, что объясняется возрастным ослаблением здоровья зубов с накоплением негативного внешнего воздействия. Отдельная проблема — зубной камень и упомянутые выше «детские» причины.
Наш подход к этому вопросу прост и однозначен: отбеливание зубов не проблема! Наши специалисты в совершенстве владеют самыми современными методиками проведения достаточно простой процедуры, эффективно и безопасно проводя отбеливание зубов с учетом особенностей зубной эмали каждого пациента.
Стоматологическая клиника «ИмплантАВ» готова помочь всем обрести здоровую улыбку естественной белизны!
Методики отбеливания
Кабинетное отбеливание зубов проводится по нескольким методикам, выбор конкретного способа отбеливания зависит от состояния зубов и, в меньшей степени, финансовых возможностей пациента. В любом случае врачи стоматологической клиники «ИмплантАВ» обеспечат профессиональное консультирование каждого пациента с отчетливо выраженным индивидуальным подходом.
Имеющееся разнообразие методик отбеливания зубов базируется на применении перекиси водорода. Естественно, что перекись водорода даже в незначительных концентрациях действует как кислота и, помимо отбеливания, ослабляет зубную эмаль.
Все было бы именно так, но кабинетное отбеливание зубов тем и отличается от доморощенных методик, что использует отбеливающие комплексы. Это критически важно: в их состав входят фтор, кальций и калий, которые не только качественно компенсируют негативное действие перекиси, но и частично и/или полностью восстанавливают плотность и твердость эмали. Практически всегда пациенты с восторгом отмечают, что после отбеливания зубы стали не только белее, но и прочнее!
Лазерное отбеливание зубов. Преимущества ее особенно очевидны для самих стоматологов: имеется возможность точечного воздействия на проблемные зоны, кроме того, высокоинтенсивный лазерный луч работает как катализатор процесса отбеливания. Ускоряя его и, таким образом, максимально снижая вредное воздействие перекиси на эмаль (см. выше).
При традиционных методиках отбеливание зубов катализируется ультрафиолетом, направленным инфракрасным излучением, химическими комплексами.
Внутреннее отбеливание зубов, показано только в специальных случаях и только к серьезно поврежденным зубам.
Как правило, сеанс длится один час и совершенно не вредит деснам и полости рта. Единственное возможное неудобство — некоторое кратковременное «ослабление чувствительности зубов», как описывают это состояние сами пациенты.
Противопоказания:
Мировая стоматология знает единственное противопоказание, при котором процедура «отбеливание зубов» не рекомендуется: естественная ослабленность зубной эмали и связанная с этим повышенная чувствительность зубов (болезненная реакция на горячее и холодное, кислое и сладкое). Но даже при такой проблеме отбеливание зубов вполне реально. Перед процедурой придется несколько усилить эмаль до естественного природного уровня, то есть пациент избавляется сразу от двух неприятностей — исчезают повышенная чувствительность зубов и нездоровая желтизна.
Стоматологическая клиника «ИмплантАВ» в Стерлитамаке — отбеливание зубов для красоты и здоровья каждого человека!
